Introduction to Cervical Lordosis
Cervical lordosis might sound like a complex medical term, but it’s simply the natural inward curve of your neck. This curve plays a huge role in supporting your head, maintaining balance, and reducing strain on your spine. When the curve becomes too straight or too exaggerated, problems start to appear.
What Is Cervical Lordosis?
It refers to the inward curvature of the cervical spine, located in your neck. A healthy cervical lordosis helps distribute mechanical stress and allows smooth movement.
Importance of Natural Spinal Curvature
Just like a suspension system keeps a car steady, your spine’s curves absorb shock. A well-aligned cervical curve helps prevent headaches, nerve compression, and chronic pain.
Anatomy of the Cervical Spine
Structure of the Neck Vertebrae
Your cervical spine has seven vertebrae (C1–C7). These bones support your skull, protect the spinal cord, and allow motion such as turning, bending, and tilting.
Role of Muscles, Discs & Nerves
Muscles stabilize the neck, discs act as cushions, and nerves pass through openings between vertebrae.
Spinal Alignment
Good alignment keeps pressure evenly distributed.
Neck Mobility
A flexible neck helps you perform everyday motions without strain.
Types of Cervical Lordosis Issues
Loss of Cervical Lordosis (Military Neck)
This happens when the curve becomes too straight. It often leads to stiffness and long-term discomfort.
Hyperlordosis (Excessive Curve)
When the curve becomes too deep, it can place pressure on joints, muscles, and nerves.
Kyphotic Reversal
In severe cases, the curve can reverse completely, creating a forward hump-like shape. This requires immediate medical attention.
Common Causes of Cervical Lordosis Problems
Poor Posture
One of the biggest reasons for cervical curvature issues.
Forward Head Posture
Constant phone use, desk work, and slouching push your head forward, flattening the natural curve.
Injury or Trauma
Whiplash and neck injuries from accidents can disturb normal alignment.
Degenerative Disc Disease
As discs wear down with age, they may reduce the curve’s support.
Congenital or Structural Conditions
Some people are born with spinal variations that affect curvature.
Muscle Weakness and Imbalance
Weak deep neck flexors and tight chest muscles contribute to alignment issues.
Symptoms Associated with Abnormal Cervical Curvature
Neck Pain and Stiffness
A disrupted curve often results in chronic pain.
Headaches
Tension headaches develop when neck muscles work overtime to support the head.
Shoulder and Upper Back Pain
Misalignment radiates discomfort downward into nearby muscles.
Nerve Compression Symptoms
If nerves become irritated or pinched:
Tingling and Numbness
You may feel these sensations in the arms or fingers.
Diagnosis of Cervical Lordosis
Physical Examination
Doctors check posture, range of motion, and muscle tightness.
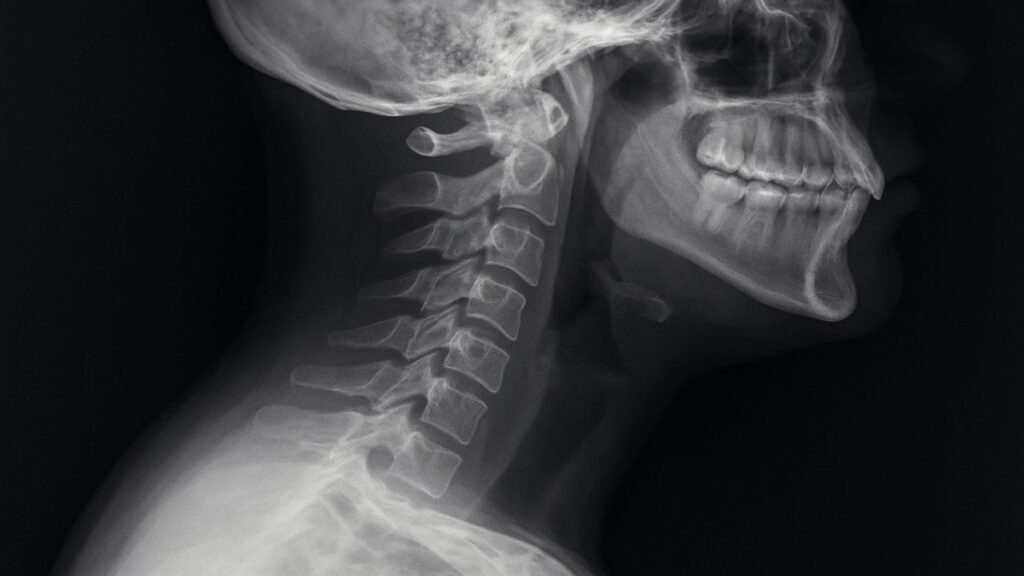
X-rays and Imaging Tests
These show the degree of curvature and any structural abnormalities.
Assessment of Lifestyle and Posture
Understanding daily habits helps identify root causes.
Treatment Options
Physical Therapy
A targeted therapy plan is usually the most effective treatment.
Strengthening Exercises
Focus on deep neck flexors, back muscles, and core support.
Stretching Techniques
Stretches for the chest, shoulders, and upper back improve alignment.
Chiropractic Care
Spinal adjustments may help restore natural curvature.
Pain Management
Heat, NSAIDs, and massages can reduce discomfort.
Posture Correction Strategies
Ergonomic chairs, posture braces, and mindful sitting can help restore the curve.
Surgical Options (Rare Cases)
In extreme situations, surgery may be considered.
Home Remedies and Lifestyle Tips
Ergonomic Adjustments
Raise screens to eye level, support your lower back, and avoid slouching.
Neck Support Pillows
A good cervical pillow helps maintain proper alignment while sleeping.
Heat and Cold Therapy
Heat relaxes tight muscles, and cold reduces inflammation.
Prevention of Cervical Lordosis Problems
Daily Movement Habits
Take breaks from sitting every 30 minutes.
Strengthening and Flexibility Routines
Include neck stretches and upper back exercises in your routine.
Avoiding Harmful Posture Patterns
Keep devices at eye level and avoid “text neck.”
Conclusion
Cervical lordosis is essential for a healthy neck and a pain-free life. When this natural curve becomes distorted, it can lead to discomfort, headaches, and even nerve problems. Thankfully, with proper posture, physical therapy, and lifestyle changes, most people can restore or improve their cervical alignment. Understanding this condition empowers you to take control of your spinal health.
FAQs
1. Can cervical lordosis return to normal?
Yes—many cases improve with physical therapy, posture correction, and lifestyle changes.
2. Is cervical lordosis serious?
Not always, but severe cases can cause nerve issues and chronic pain.
3. Does sleeping position affect cervical curvature?
Absolutely. A supportive pillow and back sleeping help maintain alignment.
4. Can exercise fix loss of cervical lordosis?
Specific strengthening and stretching exercises can greatly improve it.
5. When should I see a doctor?
If you experience persistent pain, numbness, or difficulty moving your neck.








